Archive for: Ecografie

Ecografia Superficiale-Internistica

17 Mag 2012 0 Commenti

L’esame ecografico è l’esame di prima istanza nella valutazione delle strutture non contenenti aria (es. polmone) o non circondate da aria e da osso.

Continua

Ecografia Endoscopica

17 Mag 2012 0 Commenti

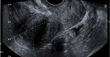
Sebbene l’ecografia sia utilizzata, prevalentemente, appoggiando la sonda sulla superficie esterna del corpo, talora è necessario introdurla all’interno per studiare organi che sarebbero mal distinguibili da fuori.

Per questo sono state disegnate sonde di forma adatta per essere messe nella cavità rettale, attraverso l’ano, al fine di indagare la prostata e le pareti dell’ultima parte dell’intestino (Ecografia Trans-rettale) o, nella vagina (Trans-vaginale), per esplorare l’apparato genitale femminile.

Più recentemente si sono affermate tecniche che, facendo penetrare la sonda ancora più in profondità, per esempio nell’esofago e nello stomaco, permettono di scrutare da vicino molti organi nel torace e nell’addome e forniscono immagini con dettagli molto precisi.

EcoColor Doppler

17 Mag 2012 0 Commenti

Con l’ecografia, associata alla tecnica doppler , si può esaminare il flusso del sangue nel cuore e nei vasi.

Un fascio d’ultrasuoni che colpisce un liquido che scorre in un vaso può far capire la direzione e la velocità del flusso.

Mettendo insieme l’ecografia ed il doppler è possibile osservare non solo le eventuali modificazioni della forma del cuore, delle arterie e delle vene, ma anche le caratteristiche del flusso del sangue al loro interno.

© Copyright Centro Radiodiagnostico Barbieri - web design & web marketing by: Secret Key Web Agency Privacy Policy