Archive for: Radiologia Odontoiatrica

Telecranio e Cefalometria

17 Mag 2012 0 Commenti

La teleradiografia cefalometrica è un esame breve e non doloroso richiesto dai dentisti per valutare le diverse anomalie di costituzione, sviluppo e posizione dei denti e delle ossa mascellari allo scopo di prevenire, eliminare o ridurre tali anomalie cercando di riportare o di mantenere gli organi deputati alla masticazione e il profilo facciale nella loro posizione più corretta possibile.

Nella radiografia devono essere rappresentati nel modo migliore possibile quei punti e quelle strutture ossee che poi il medico dentista deve poter riconoscere per tracciare in modo preciso le linee del tracciato cefalometrico. E’ quindi necessario conoscere l’esatta localizzazione dei punti impiegati in cefalometria e delle strutture anatomiche che essi definiscono.

La teleradiografia può essere eseguita in tre proiezioni: latero-laterale, postero-anteriore ed assiale. La più usata nella diagnosi cefalometrica è la latero-laterale.

Ad ogni RX TELECRANIO con CEFALOMETRIA il nostro Studio offrirà gratuitamente un’esame orto panoramico qualora ce ne sia la necessità.

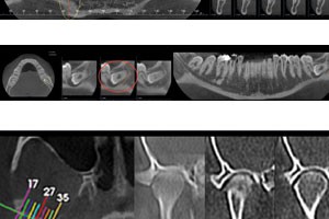
Stratigrafia (ATM)

17 Mag 2012 0 Commenti

Quando è richiesto uno studio mirato delle Articolazioni Temporo Mandibolari (ATM), il semplice esame ortopanoramico non è più sufficiente e bisogna ricorrere a tecniche specifiche.

A questo scopo abbiamo dotato il nostro studio di un apparecchio radiografico digitale che ci permette di eseguire una serie di indagini volte a studiare le articolazioni nella loro completezza:
La stratigrafia dell’ATM è richiesta il più delle volte per la disfunzione temporo-mandibolare.

Tale patologia si riflette su un alterato meccanismo dell’articolazione nei movimenti di apertura o chiusura della bocca. Il sintomo tipico, “click articolare” è dovuto alla dislocazione anteriore o interna del disco articolare che perde il suo naturale rapporto anatomico con il condilo mandibolare. Al momento dell’apertura orale quando il condilo si muove in avanti e supera il disco anteriorizzato si avverte una vibrazione: click generalmente senza dolore poichè il disco articolare non possiede innervazione.

Il click, se trascurato, può progredire con usura del disco fino alla perforazione e all’insorgenza di artrosi mandibolare con degenerazione dei tessuti e importanti limitazioni nell’apertura orale. Il disco perforato genera un rumore ( di “sabbia” ) dato dallo sfregamento delle ossa in contatto e possono verificarsi episodi di dolore articolare per infiammazione traumatica.


Per una valutazione ancora più accurata della struttura condilo-mandibolare disponiamo della TC Cone Beam 3D per lo studio morfologico delle ATM che attraverso ricostruzioni tridimensionali permette di studiare le modifiche ossee del condilo (appiattimento, erosione, sclerosi, osteofitosi,riassorbimento), lo spazio interarticolare (normale, aumentato, ridotto, contatto osseo tra condilo e fossa mandibolare) e le modifiche ossee della fossa mandibolare.

NEWTOM 5G – Tc cone beam 3d

17 Mag 2012 0 Commenti

La Tomografia computerizzata a fascio conico è una tecnologia che permette l’acquisizione di immagini radiografiche in 3D di una parte o di tutto il cranio del paziente, con l’utilizzo di dosi di radiazioni minori alle dosi utilizzate nei tomografi convenzionali.
Collaborando da molti anni con molti studi odontoiatrici, abbiamo deciso di puntare su questa innovativa tecnica per offrire immagini 3D delle arcate dentarie con una qualità di dettaglio che prima era solo immaginabile e al tempo stesso venire incontro alle esigenze del singolo paziente.

La Tc 3d Cone Beam presenta numerosi vantaggi rispetto ad altre modalità di esami  grazie all’esattezza , alla velocità nell’acquisizione delle immagini e alla sicurezza nei confronti del Paziente.
La Tc 3D Cone Beam puo’ essere utilizzata nella pratica clinica attualmente per la diagnostica e il piano di trattamento in diverse branche della medicina quali Chirurgia, Implantologia e Patologia orale, permettendo di identificare i punti anatomici come appaiono nel maxillo e nella mandibola.
Permette di ridurre al minimo le dosi di radiazione e il tempo di esposizione oscilla tra i 15/20 secondi.

La riduzione della dose effettiva di radiazioni ricevute dal paziente è quasi il 90% inferiore rispetto ad una Tc convenzionale. In più permette di adeguare le dosi di radiazioni in base al paziente, in modo che un bambino ne riceva il 50% in meno rispetto ad un adulto.
Newtom 5G è caratterizzato da un lettino motorizzato che permette di acquisire le immagini con il paziente comodamente disteso in posizione supina. E’ stato infatti dimostrato che, con una posizione rilassata senza elementi di fissaggio o costrizione della testa, il paziente mantiene più facilmente l’immobilità, migliorando la qualità dell’esame.
L’immagine digitale e la ricostruzione 3D permette di realizzare la collocazione virtuale degli impianti e dunque pianificare i trattamenti con maggiore precisione, meno complicazioni e risultati migliori.

QUANDO SERVE?

La Tc Cone Beam è un esame per lo più richiesto dal dentista al fine di pianificare un corretto iter chirurgico per il posizionamento di impianti dentari. L’implantologia dentale consiste nell’inserimento nell’osso mascellare o mandibolare (privo del dente naturale) di pilastri che, una volta integrati nell’osso stesso, potranno supportare un dente artificiale idoneo a svolgere la sua funzione. Se avete deciso di migliorare l’aspetto e soprattutto la funzionalità della vostra bocca programmando il posizionamento di un impianto dentale il vostro dentista non potrà fare a meno di efficienti immagini.

E’ DANNOSA?

L’imaging Cone Beam utilizza invece un fascio a forma conica per acquisire l’intero volume, effettuando un’unica rotazione. Il risultato sarà un’immagine più accurata, che contiene una serie completa di informazioni, ottenuta con un tempo di esposizione ai raggi X considerevolmente inferiore rispetto a una Tac convenzionale.
Questo studio ha investito su un macchinario che attraverso l’utilizzo di pochissime radiazioni, pari a quelle di una comune ortopanoramica, permette di creare immagini di elevata qualità necessarie per una migliore pianificazione dell’intervento chirurgico.

Ortopanoramica

17 Mag 2012 0 Commenti

L’ortopantomografia, chiamata anche radiografia panoramica delle arcate dentarie, è una tecnica radiografica che produce un’immagine dei denti, delle arcate dentarie e delle ossa mascellari e mandibolari su un’unica pellicola.

L’ortopantomografia è un esame radiografico e quindi espone il paziente alle radiazioni ionizzanti: tuttavia la dose di raggi x che viene assorbita dal paziente per questo esame utilizzando un panoramico digitale è inferiore di molte volte rispetto a quanto viene somministrato eseguendo tutte le radiografie endo-orali necessarie per visualizzare separatamente tutti i gruppi di denti (panoramica di endo-orale).

L’ortopanoramica si esegue per lo studio panoramico dei denti, delle ossa alveolari e delle altre strutture radiopache che li circondano. Essa è fondamentale per un bilancio iniziale dello stato della bocca prima di un trattamento odontoiatrico: sulla sua scorta, il dentista potrà richiedere di eseguire le radiografie endo-orali di dettaglio necessarie per i gruppi di denti eventualmente da curare. E’ inoltre indispensabile per valutare lo stato della dentizione nei soggetti in età di sviluppo, per evidenziare eventuali malformazioni dentarie o denti inclusi e per ricercare lesioni ossee, infiammatorie, cistiche o tumorali a carico degli alveoli e degli altri costituenti scheletrici che circondano i denti.

L’esame ortopantomografico è eseguito, nella maggior parte dei casi, su indicazione odontoiatrica: tuttavia, la complessità delle strutture della bocca che sono studiate con questa indagine la rendono indicata anche in numerosi casi di patologie chirurgiche, oncologiche, otorinolaringoiatriche e maxillo-facciali.

Non richiede nessuna preparazione particolare. Il paziente non deve avere oggetti metallici sul capo che potrebbero creare ombre che mascherano la visione delle arcate dentarie.

In particolar modo, vanno tolti prima di eseguire l’ortopantomografia gli orecchini o altri monili metallici: gli impianti di piercing, soprattutto a livello linguale, possono causare artefatti importanti.

Vanno inoltre rimossi al momento dell’ esame eventuali apparecchi protesici mobili e, ovviamente, le dentiere.

L’ esame non è doloroso né fastidioso.

 

Full-Endorale

17 Apr 2012 0 Commenti

 

Il Full radiografico endorale è l’esame radiografico più indicato ad individuare patologie paradontali, perchè mette in risalto ed in dettaglio quei problemi che possono sussistere a carico della gengiva e degli altri tessuti parodontali e che avvolte l’esame ortopanoramico non evidenzia. Consiste in un insieme di radiografie che forniscono un’immagine chiara e minuziosa dell’architettura ossea che circonda i denti. Da queste radiografie si deduce fedelmente l’entità della degenerazione dei tessuti duri del parodonto e la perdita di attacco connettivale.
La malattia parodontale o piorrea è una patologia a carico delle strutture di sostegno del dente  e cioè gengiva, osso alveolare, cemento e legamento parodontale. Nella sua forma iniziale e reversibile, la gengivite, sono interessati i tessuti parodontali marginali, la gengiva, e non ci sono problemi di attacco del dente. Sintomi clinici principali sono l’edema, l’arrossamento dei margini e il sanguinamento. L’evoluzione irreversibile della patologia, la parodontite, riguarda i tessuti parodontali più profondi (osso, cemento, legamento parodontale) ed è contraddistinta dalla perdita di attacco del dente. Le malattie parodontali, se non trattate, possono produrre danni anche in organi distanti dalla bocca, quali cuore e polmoni.

 

© Copyright Centro Radiodiagnostico Barbieri - web design & web marketing by: Secret Key Web Agency Privacy Policy